马建民丨眼肿瘤眼眶病图片集锦(198):视网膜母细胞瘤
更多新闻请点击:
眼科,中国眼科,
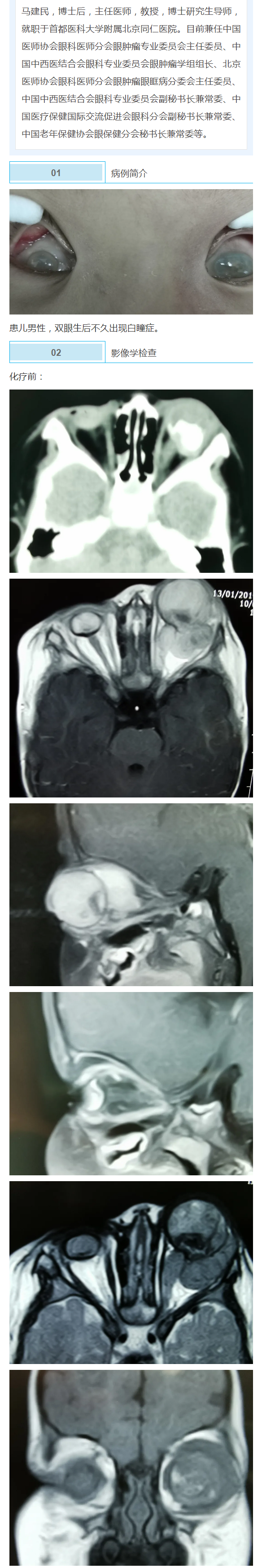
眼科,中国眼科,眼科医生,眼科医院,中国眼科医生,中国眼科医院,眼科公司,中国眼科公司,眼科器械,眼科设备,眼科耗材,眼科高值耗材,眼科刀,眼科手术刀,眼科线,眼科缝线,眼科剪,眼科镊,眼科硅油,眼科重水,开睑器,义眼台,义眼片,眼底镜,超乳,超乳手柄,裂隙灯,裂隙灯灯泡,粘弹剂,欣可聆,人工晶体,人工晶状体,RAFI,欧视,US,860,868,635,628,863,以色列晶体,SeeLens,seelens,优视,美国优视,美国优视晶体,非球面,折叠,推注器,瑞士推,韩国推,前房,眼整形,眼底病,黄斑变性,眼罩,泪道,玻璃体,白内障,青光眼,干眼,近视眼,近视防控,阿托品,雷珠单抗,准分子激光手术,泪液检测棉线,眼压计,眼科医生手术技能培训,AAO,眼科十大新闻,十大眼科医院,十大眼科连锁,十大眼科品牌,十大,潇莱夹子,上海潇莱,潇莱,眼科信息交流区,眼科资讯,眼病百科,眼科会议,日程,通知,征文,中国眼科网,眼科网,视网膜,干眼症,翼状胬肉,眼视光,夜盲症,远视,远视眼,眼外伤,眼眶病,眼睑病,视神经,视疲劳,视路病变,色盲,色弱,斜视,弱视,小儿眼科,散光,葡萄膜,色素膜,红眼病,巩膜,屈光不正,近视,老花眼,角膜,功能镜,眼球震颤,双眼皮手术,上睑下垂,眼镜,眼睛,眼,眼科小知识,护眼,眼科专家,科普,过敏性结膜炎,眼科常用正常值,视野,糖尿病视网膜病变,眼科肿瘤,眼表疾病,角膜接触镜,并发症,眼科手术器械,飞蚊症,眼科药品,光明,防盲治盲,视力,眼内异物,眼科疾病,眼记一分钟,视觉,眼底影像,健康快车,神经眼科,白内障围手术期,视物模糊,葡萄膜炎,太阳镜,美瞳,黄斑裂孔,失明,眼药水,房角镜,OK镜,绷带镜,眼震电图, 爱尔眼科,300015,光正眼科,002524,华厦眼科,何氏眼科,普瑞眼科,艾芬,三焦点晶体,视网膜脱,白内障手术,



