本文转自:眼科王超军微信公众账号
本文所指的“眼睑裂伤”是指外伤所致的“眼睑皮肤软组织裂伤”。
某地区曾有这样的报道,患儿3岁,眉弓部眼睑裂伤,予以清创缝合并于一周后拆线,三个月后家长发现孩子眼睛外斜,到医院就诊,发现患侧眼视神经萎缩、知觉性外斜,前者考虑是眉弓挫伤引起的“外伤性视神经病变”。家属一纸诉状将医院告上了法庭。
眉弓中外1/3眼睑裂伤最易导致TON
眼睑裂伤是常见的眼科急症。理论上讲,任何眼病,我们都应全面检查,包括视力、裂隙灯及眼底检查等。但在实际工作中,由于眼睑裂伤的大部分患者是儿童,加上场面“血淋淋”,家属一般比较紧张,希望医生尽快予以手术缝合。我们认为合理的详细检查,家属反而觉得医生“不紧不慢”,产生不必要的误会。“快点缝,眼睛看得见,不用查视力了!”是我们常碰到事。
如先前提到的病例,对于眼睑裂伤这类并不严重的外伤,如果漏诊了“外伤性视神经病变(TON)”,后者导致视功能不同程度低下,后果是严重的。所以快速识别患者除了“血淋淋”的眼睑裂伤外,是否还有别的“损伤”(特别是TON等比较隐匿的疾病)显得非常必要。
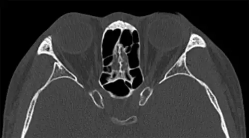
视神经管CT
那,如何避免这类疏忽呢?笔者的经验如下:
眼睑的外伤类型
锐器伤:TON的可能性小;但需排除眼球损伤;
挫裂伤,特别是眉弓中外1/3部位的皮肤软组织挫裂伤(如跌落伤、撞击伤等):一定要考虑到TON的可能;由于眼眶的保护作用,眼球损伤的可能性则相对较小。
简要的病史询问及客观检查
询问有无视物模糊(视力)、变暗(对比敏感度)、颜色变淡(色觉)以及视物成双(复视)等。以上内容可以在几秒钟内完成。
重点查看受伤侧眼角膜及相对性瞳孔传入障碍(RAPD),如RAPD(+),则怀疑TON可能。上述检查可以用手电筒来完成。对于不能说话的婴幼儿,客观的RAPD检查显得更为重要。
RAPD检查(右眼RAPD+),以下视频15M大小,建议WIFI 下播放。
对于发现除了眼睑裂伤外的其他眼部损伤的,应按照眼外伤的处理原则进行告知和治疗。
对于未发现其他阳性体征的,我们可以先行“眼睑清创缝合术”,此后,患者家属一般不会显得特别的紧张和浮躁,可以进一步视力、裂隙灯及眼底等检查,并将清创前询问的病史及其他检查(特别是RAPD检查)详细记录在病历,并告知可能存在的并发症。
随访
对于迟发型TON以及轻症TON,外伤当时视力下降可能并不明显。这就要求我们在随访中,应多次行神经眼科学检查及相关的辅助检查,避免TON的漏诊。
作者:浙江省台州市立医院 王超军
校审:中国人民解放军总医院 魏世辉
更多新闻请点击:http://www.yanke360.com/news/
