在我们的日常生活中,手持激光设备的使用已经相当普遍,近些年来,从网上花很便宜的价格就能买到一个演讲时所用到的高能激光笔。这些设备深受年轻人的喜爱,他们用它来点香烟,炸破气球甚至在别的什么东西上烧上一个洞。
由于有限的暴露并且有先天的眼球保护机制(眨眼反射等保护性反应),人们往往认为这些输出功率小于 5mW 的激光器对于双眼没有什么危害,然而输出功率超过 150mW 的设备则可能对于眼造成严重的伤害。
Petros Petrou 教授和他的团队发现了一例由于手持激光点火器造成的双眼黄斑裂孔病例,文章发表在最新一期的柳叶刀杂志上。
2012 年 3 月,一名 15 岁的男孩由于双眼视力下降三周到玻璃体视网膜门诊就诊。他描述了他的双眼在看了正在点烟的手持激光点火器发出的强光后,中心视力急剧下降,并且在寻求诊治前的三周时间内视力还在不断下降。
我们从这个激光点火器的说明上了解到,这个从网上购置的装置具有 1000mW 的发射功率和 474nm 的波长。
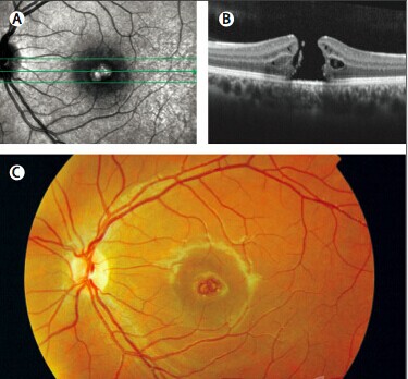
通过临床检查,我们发现患者双眼视力为 6/18,眼底发现患者双眼黄斑部裂孔形成并伴有周边不规则的圆齿状边缘,光学相干断层扫描(OCT)检查证实了以上诊断。
该患者需要包括玻璃体切割,内界膜撕除以及气体填充的外科治疗,但患者拒绝手术随后出院,出院时视力依然是 6/18。
该患者的自发荧光照片(A),OCT 检查结果(B)以及彩色眼底照片(C)显示患者为显著的黄斑裂孔。
高能激光造成的视网膜损伤往往多见于在军事,工业或者医院使用的设备中。损伤的严重程度直接取决于激光的种类,波长,暴露的时间以及光斑大小。不同的眼部结构吸收的激光波长也不同,蓝光更容易造成光化学视网膜损伤(光凝和光破裂作用)。
以往有报道描述过很多手持激光造成的不同的眼部病理损伤,Wyrsch 报道了一个 15 岁的男孩在使用输出功率为 150mW 的手持绿色激光器后出现黄斑下出血。
Alsulaiman 除了报道在使用了波长为 450nm 输出功率为 750mW 的手持激光器后出现黄斑下出血的类似病例外,还报道有些患者出现视网膜外层的破损,视网膜下水肿,单侧黄斑裂孔等一系列病例,并发现黄斑裂孔的形成往往和近距离使用激光器有关。
Petros Petrou 教授的报道是使用激光器后形成双眼黄斑裂孔的首个病例,通过这个病例以及以往许多激光器使用造成的眼部损伤病例,Petros Petrou 教授及其团队建议,应该严格按照其对视力的危害程度进行分类管理这些激光器,并且主张政府采取相应措施来提高大众和医生对于激光器的认识。
更多新闻请点击:http://www.yanke360.com/news/
