本文来源:尖峰眼科
近年来棘阿米巴角膜炎有逐年增多的趋势,感谢李绍伟院长给我们分享这个疾病的特点,更重要的是,在发现这个疾病的过程中的坚持和钻研,值得每一个临床医生去深思。
我是1990年跟随谢立信院士开始角膜病的学习的,随着时间的推移和经验的积累,不断有疑难病例出现,也有病例得不到最终确诊的。
其中一个最关键的问题时没有见过典型病例,那时候也没有什么国外经典书籍,国内的书籍相对滞后,实用性有待提高。另外那时候也没有互联网,国外杂志更看不到,只能看到荷兰眼科文摘,偶尔能到北京协和查一点原文。
当时碰上感染性角膜病变,大部分可以确诊,比如真菌,刮片很简单。细菌可以培养。病毒有典型病逝。但是对于一些不能确诊的病例,我就自己推测,是不是棘阿米巴?因为没有其它诊断可以考虑了。
不过直到1999年,我从来没有诊断出一例棘阿米巴性角膜炎!
那时候只是看国外医学的综述,直到同仁医院金秀英教授,后来是张文华教授对这个疾病有研究,开会有时候他们讲一下。但也引不起多少人的兴趣,因为这种病例太少了。
那时候对这个病的认识也不系统,总体印象是可能跟病毒性角膜炎相似,容易误诊,而且与戴接触镜有关系。一旦诊断不出明确病因,我就往这上面考虑,但是没有任何检查手段。所以一直非常郁闷,感觉角膜病方面我缺了一大块知识和经验。
直到1998年到了美国LSU EYE CENTER,跟随Kaufman出门诊,在实验室用共焦显微镜做研究,才对此有了一点认识。
有一天他们临床医生Page我,说请我到临床看一个病人,去了才知道是要我看共焦显微镜检查,那个病人是不是棘阿米巴。但是我不能确诊,因为没有见过
这类病人在美国也不是很多见的。
1998年我出国前我们医院已经有了国内第一台共焦显微镜,所以我也一直想用共焦显微镜查阿米巴包囊。但是一直没有成功。
1999年我回国后碰到一例病人,他们做了穿透性角膜移植后复发了两次,换了两次片。我当时就有一点怀疑。
两次都这样
我调出了术前照片,感觉不像病毒性角膜炎,当时就想这是不是阿米巴呢?
暗示怎么确诊呢?
共焦显微镜看不出特点,那时候我们用的是Tomy的,光学显微镜,不是很清楚。
培养也不会,
后来我就想,拿病理切片看一看,有没有包囊。
不过病理切片据说要特殊染色,什么荧光,什么银之类,我们也不会。我就拿过来做了PAS染色,结果发现了可疑包囊。
很抱歉这些病例片照片在另一个电脑里,今晚不能放了。
我找相关书籍仔细查了病理特点,结果是典型的双环包囊,应该得到确诊了。我激动万分!
但是这个病例的表现与以往我的知识和其他人讲的不一样,是环状,而不是毛玻璃样。
后来我就把这个病例查了共焦显微镜,也比较典型。
但是不如病理清楚。
再后来我就想,我们每年接诊这么多角膜病患者,肯定不止这一例,以前可能误诊了不少。所以我就到病理室让技术员找出所有角膜移植术后的病理片,看有没有阿米巴包囊。
结果我们那个小护士非常认真,每天有空就找,找到可疑地就叫我看,我们又发现了十几例(记不清楚了)!
然后我再调出这些患者的术前照片,看有什么特点。
最后发现,最常见的特点就是环状浸润!
这篇文章发表在中华眼科杂志,当时如果开放一点,可能可以发到国外。
当我在全国会上讲了这个特点以后,很多地方,比如河南,也开始报告说他们有这种病例。可见以往大家误诊不少。
再后来我们经常发现这类病例,不少同行也转给我这种病例。我就跟化验室一起建立了培养方法,
主要是要用带有大肠杆菌的培养基培养,阿米巴是以大肠杆菌之类作为营养的。
大家看这些宝贵的照片,今天我没有打marker。
经过这个阶段后,我们逐渐了解到棘阿米巴角膜炎不一定是接触镜原因,很多外伤、接触脏水,比如养鸭等,都容易感染棘阿米巴。
现在激光共焦显微镜的图像更清晰了。
这些都是我们北京医院特检科做的。非常清楚。
下面发一个典型病例
一个同行转给我的,他们做了板层复发。我一看复发就想到真菌和棘阿米巴
一查共焦显微镜,果然是
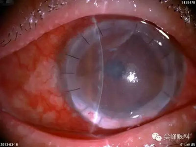
做了大植片pkp,
一个月后仍然复发
用什么药也控制不住
怎么办?
做了带巩膜的全角膜移植
眼睛保住了
半年后这样了。不过如果想看见,可以再手术。
下面是另一种比较容易误诊的表现
今天就汇报到这里。
但是我将近十年想着棘阿米巴性角膜炎,最终还是诊断出来了。
临床学习需要平台,需要导师,需要交流,也需要坚持和钻研。
李绍伟
来源:尖峰眼科
更多新闻请点击:http://www.yanke360.com/news/
