转自:尖峰眼科公众账号
本文由褚涛特约授权





褚涛,男,52岁,副主任医师,副教授。从事眼科临床、教学工作27年。毕业于哈尔滨医科大学,曾就职于齐齐哈尔医学院一附院、无锡三院,爱尔眼科,现就职于上海新视界眼科医院白内障专科主任。工作近30年,在临床中曾经参加各个专业的学习和工作。见证了白内障手术技术发展、变迁和进步,经历了从“囊内→囊外→ECCE→超乳→飞秒激光+超乳”的发展历程。
近7~8年来主要从事白内障超声乳化方面的工作。完成超乳手术3万多例,既积累了比较丰富的临床手术成功经验,也基本上经历过了所有手术意外和并发症的着急、上火、煎熬和折磨。
曾经发表论文数十篇,近些年更注重临床实战经验的总结。
大家好,很高兴又和大家见面了。今天的课比较简单,采用问答式方式,请大家积极参与!
YAG激光原理您懂吗?不懂请去看书本。呵呵!
您会打YAG激光吗?









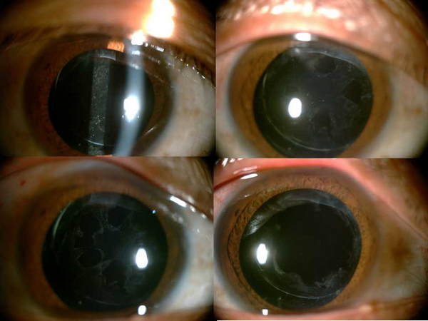
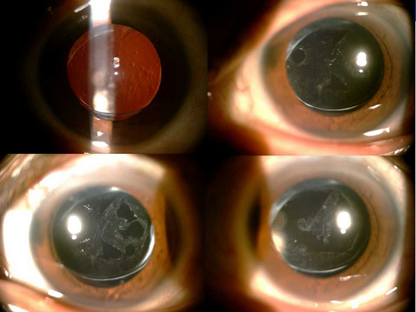
2、对高危人群定期随访:特别是术后2周~3个月之间的多次随访,更要及时,做到早发现早治疗。这个问题最近几年已经得到明显的认识和重视了。我曾经有过一个视网膜色素变性患者,白内障术后3周,撕囊口就皱缩到1~2mm,发展非常之快。3、轻、中度前囊皱缩综合症,可以YAG激光治疗; 4、如果增殖膜非常厚,只有手术;如果增殖膜非常厚,YAG激光打不开了,只有用手术方法剪除了。手术之前,可以用YAG激光先打开一个或几个点或缺口,这样手术更加好操作,更容易剪除前囊皱缩环。(第二点)我还是建议随访为主,对高危人群早期密集随访,如果发现早期皱缩增殖,或有皱缩倾向,需要及时用YAG激光切开松解,这也是我的(第三个)观点。几天前在一个全国白内障群里面,关于出现前囊皱缩综合症的病例,或者出现前囊皱缩综合症倾向的病例,是早起打激光还是观察等待?等到病情加重以后再打激光?这些问题还进行过讨论。我的观点是:打YAG激光越早越好。越早,前囊皱缩越轻,囊袋和悬韧带被牵拉的程度越小,还没有出现副损伤。不要等到前囊皱缩加重,并发症出现了再补救性地打激光。而且前囊增殖膜越薄,YAG激光所用的能量越低,反应越轻,激光的副损伤也越小。需要说一点,前囊下上皮细胞呈白色增殖膜,其前囊膜还是透明的,只是下面的增殖膜牵拉将其拉成很小的孔,并可能牵拉造成部分悬韧带被拉断。YAG激光怎么样打开前囊皱缩环?我的方法选择尽量少的3~6条切口,先预切开几个切口的腹部,保留皱缩口边缘一点点连接,最后再快速击断几个连接点。否则当完全切开一侧的时候,力量不平衡以后,另一侧的收缩将增殖皱缩环拉向周边,再加上激光刺激虹膜,瞳孔可能会缩小遮挡,这次就不能够完成治疗了。(部分病例图片,黄线代表切开部位,红色点代表最后一次爆破点)



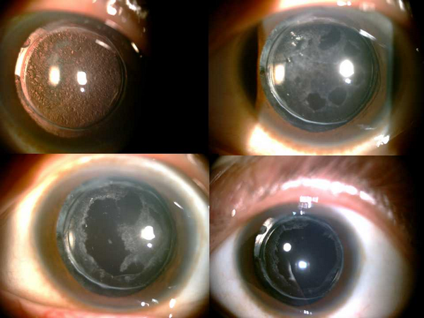
(最后一张图片就是由于YAG激光刺激虹膜,造成瞳孔缩小遮挡)有的时候可以看到透明的前囊膜被打开,增殖挛缩的机化膜分离或截断飘起落入房角或虹膜后方。如果反应不重,我认为不需处理,只局部滴激素和降眼压的眼药水观察就可以。有时候YAG激光后,前房大量碎屑溅起飘落阻塞房角,将会出现继发青光眼。建议术前要考虑全面,需要谈话,做好前房穿刺的可性和术前准备,包括结膜囊抗炎。如果打完激光后,发现有大量的碎屑溅起飘落,应及时做前房穿刺冲洗,患者会很平静。如果出现继发青光眼症状后再谈话,再进行前房穿刺冲洗,治疗上显得被动,患者和家属也会有意见。三、激光虹膜根切术也是临床常用的治疗:由于虹膜有色素,吸收能量较多,故能量勿需太大。位置也不要求一定要位于极其周边近房角处。如果有出血和色素飘起,遮挡视野,可用前置镜压迫眼球止血,建议停1~2天,吸收后再打,有的时候不慎伤及角膜内基质层,也勿需担心害怕,一般1~2天角膜会恢复,第二次打的时候需要注意。再次强调:打的方位一定要在上下方眼睑遮挡处,如果在睑裂处,可能会对视力造成影响!经常看到有的医院、有的医生把虹膜根切口还是打在睑裂方位处。


有人认为应该打在虹膜腹部或周边(红色或者粉色的标记点),当打开后,房水流入前房,前房形成建立,房角开放,眼压降低。可是第二天,虹膜击开口又被炎症渗出物阻塞,眼压又升高。而且激光打的越多,反应越重,如果打在瞳孔渗出膜与瞳孔领交界处(绿色标记点),情况与上述相仿。当瞳孔缘与后方人工晶体发生360度后粘连,造成瞳孔阻滞,但人工晶体表面没有渗出膜时,也只有打在虹膜腹部(红色的标记点),解决前后房的交通。我经过数例观察治疗,发现此时大部分病人瞳孔区都有渗出膜存在并前移,我认为打在瞳孔渗出膜正中央处最安全,效果最好。我们可能担心,瞳孔后面就是人工晶体,激光是不是会伤到人工晶体?其实大可不必担心,因为此时,瞳孔闭锁,虹膜组织和瞳孔区的渗出膜在后房的高压力下向前膨隆,明显突起,离人工晶体表面很远,UBM检查应该会支持我的观点并帮助我们鉴别。此时选在瞳孔渗出膜的正中央,用一个脉冲击开,打开前后房交通,解决房水流通问题,如果需要,可以再用1~2个脉冲扩大击开口。
一定注意:用一个激光脉冲,将瞳孔正中央的渗出膜打开一个小洞就可以了。一定不要过多,尽量不要补打激光。并且不要靠近瞳孔领的虹膜组织,否则激光刺激虹膜组织,反应加重,重新渗出,阻塞切口。当打开后,眼压降下来,眼睛病情平稳,局部滴激素眼药水,瞳孔区的渗出膜会慢慢的逐渐地吸收,一般3~4周左右吸收。尽量不要再用激光过多的击打刺激,靠其自然慢慢地吸收为好。
五、人工晶体表面陈旧性渗出沉积物清除:
白内障术后由于炎症反应,人工晶体表面可能会有渗出物沉积附着,对术后病情稳定3个月~半年以上的患者,可以用YAG激光清除。方法为:激光聚焦点在人工晶体光学区前部,采取一个高能量激光脉冲爆破,靠激光爆破向周围产生的冲击波,把人工晶体表面的渗出沉积物震荡清除下来。只要激光焦点应用正确,一般不会伤及人工晶体光学区的,非常安全。只是注意不要干扰虹膜组织。
六、YAG激光玻璃体消融术、YAG激光在青光眼术后结膜下断线术中的应用:这里不多谈了我这方面经验不多。
七、其它还有什么,请大家想一想,我也想不起来了:以上是我的临床经验总结,不知道是否都正确,只是一点临床实战经验,供大家参考和讨论!感谢庄鹏主任、肖扬主任给我提供的帮助!
更多新闻请点击:http://www.yanke360.com/news/
