本文转自:同仁之声
2017年1月6日19时30分,我院眼
科急诊室抬进来了一位高处坠落
伤患者。患者眼睑伤口持续出血
,自述右眼及右侧额颞部持续胀
痛,右眼无光感、看不见东西。
眼科医生迅速了解病史和检查患
者。据悉,患者于当日早上7时
30分,在高约5米处不慎跌落,
被一树枝穿右侧眼睑眶深入颅内
。随后,患者去了当地两家医院
救治,均因伤情复杂建议转院治
疗。经过12个小时的辗转,患者
抱着最后一丝希望,来到我院急
诊。伤情就是命令!鉴于患者伤
情涉及眼部、颅内,医院迅速启
动同仁特色颅面创伤救治模式。
救治团队迅速到位
1月6日20时,眼科副主任医师
于洁、主治医生张樱楠;神经外
科主治医生徐勇迅速到位。经检
查,患者精神弱,四肢遵嘱活动
,GCS14分;右眼睑明显青紫肿
胀,眼裂不能睁开,右眼上睑外
侧可见直径约0.5cm皮肤伤口,大
量淡黄色分泌物流出,未见异物
断端;双瞳不等大,左眼视力粗
测正常,右眼视力无光感,无手
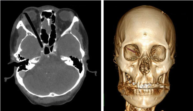
动。外院颅脑CT提示右眶内低密
度异物贯通右侧眶腔,经由眶上
裂侵入右侧海绵窦。异物如长期
存留可能导致严重感染,颅内大
出血危及生命,手术指征明确,
需要行手术治疗取出异物,挽救
生命。
多科联动确保手术万无一失
此时患者伤后已大于12小时,右
眼睑伤口污秽明显,大量淡黄色
分泌物,考虑到海绵窦内多组颅
神经穿行,特别是颈内动脉走行
其间,如出现动脉血管损伤,随
时可能出现致命性出血,需要为
患者进行颅脑、视神经管CT及脑
血管CTA检查,明确异物与颅底
重要结构关系,特别是颈内动脉
是否存在损伤,综合评估治疗方
式。
治疗团队紧急请来急诊科、影像
科联动,在最短时间内完善了相
关影像学检查。脑血管CTA检查
提示异物侵及右侧海绵窦,颈内
动脉受压向内侧移位,但管壁光
滑,具有急诊手术条件。在急诊
科的大力配合下,患者的血尿常
规、心电图、胸片等入院检查全
部完善;麻醉科手术室围绕术中
可能出现的大出血做了周密的准
备;输血科在血源紧张的情况,
给予了全力配合;各相关科室医
生及手术室护士全部到位,术前
准备一切完毕。
密切配合妙手挽救患者生命
2017年1月7日零时整,手术正式
开始。术中,神经外科徐勇医生
先行右额颞开颅,可见右侧眶顶
多发骨折线,去除破碎骨质后,
见眶骨膜破损,眼肌及眶内脂肪
疝出;在显微镜下开放视神经管
、眶上裂后,切除右侧前床突;
在取下床突骨质的同时,终于在
床突下方海绵窦内看到棕黄色木
质异物,海绵窦硬膜破损,少量
暗红色血液渗出。确认异物位置
后,徐勇医生充分松解异物与周
边结构,像一名严阵以待的警察
,密切注视着海绵窦的情况。

由于树枝已经完全刺入眶内,皮
肤表面并不能看到异物,只能看
到大约6mm左右的伤口。眼科于
洁、张樱楠两位医生相互配合,
先用镊子打开伤口,探查到树枝
后经由眼睑异物穿通通道轻轻夹
取,树枝被周围软组织紧密包裹
,没有丝毫松动,树枝较脆,稍
一用力,最外面的树枝就折断了
一个小块!长长的树枝仍然牢牢
地原位不动。看来需要改变一下
方法。于洁医生用血管钳牢牢夹
住异物一端,小心翼翼地轻微左
右晃动,边晃动边向外拔。这个
方法颇有成效,异物一点点被从
穿通道内拉出来,拔除过程很顺
利,长度7cm的异物终于被完整
取出了!可是抢救还没有结束,
被异物压闭的海绵窦开始汹涌出
血,徐勇医生和助手李一霖立即
用明胶海绵压迫止血。最终,出
血控制满意,顺利关颅。手术于
凌晨3时成功结束!患者被推送
ICU继续治疗。虽然已是深夜,经
过这一番紧张的手术,大家几乎
是睡意全无。

2017年1月7日早晨8时,天空飘
起了小雪。经过数小时的多科联
合抢救,这位辗转两家医院、经
历12个小时求医的颅面创伤患者
,生命体征已趋于平稳,随后还
要进行神经功能恢复等治疗。祝
愿患者早日康复!
类似此次抢救中的颅面创伤患者
,大多因为伤情涉及多部位,经
常要辗转多个医院或科室进行诊
断和治疗。2005年,北京同仁医
院成立颅面创伤中心,建立由眼
科、耳鼻咽喉科、神经外科、口
腔科、整形外科等多学科的救治
团队,为颅面创伤患者建立一站
式服务,开启生命绿色通道。迄
今为止,同仁医院颅面创伤救治
团队已成功抢救钢筋穿颅、车祸
面部复合伤等疑难危重患者数百
例,形成了独有的学科特色。
感谢图文提供:神经外科/徐勇
眼科/于洁 影像中心/鲜军舫
更多新闻请点击:
